Are you self-conscious about the look of your teeth? Do you have crooked, stained, or uneven teeth? At West Ashley Family Dentistry in Charleston, SC, Dr. James Dickert and Dr. Agatha Lynn offer expert care for your cosmetic dental needs. Your smile affects many parts of your daily life, so our office can give you one you’ll be proud to share every day.
We take a comprehensive approach to your cosmetic dental care and address any underlying problems. Dr. Dickert and Dr. Agatha Lynn will create a treatment plan to meet your goals and improve your long-term dental health. Whether you want a small change or a full smile makeover, we provide the personalized care you need for a beautiful and lasting result. It begins with a consultation to check your oral health and discuss your needs.
Smile Makeovers in Charleston, SC
We offer a full range of cosmetic dental treatments and procedures to meet your needs. During your consultation, we’ll identify any issues that could affect your results. Then, we’ll suggest the best treatment options for you.
The goal is to enhance your teeth with natural-looking results that also support your overall oral health. We want you to enjoy the personal and professional benefits of a healthy, beautiful smile. For some patients, this may mean a professional teeth whitening treatment to restore a more youthful-looking smile. Others may need custom dental veneers or other restorations to improve both health and aesthetics.
If you’re worried about your crooked teeth messing up your bite, we have a fast fix for you with Invisalign clear aligners. These aligners are a great option since they’re almost invisible and super simple to use. Other cosmetic dental treatments at West Ashley Family Dentistry include:
- Teeth Whitening: Teeth whitening is a simple way to brighten your smile. We remove stains and yellowing from food, drinks, and age with professional teeth whitening. You can get whiter teeth in just one visit to our Charleston dental office.
- Porcelain Veneers: Porcelain veneers are thin shells placed over the front of your teeth. They can fix chips, cracks, gaps, and discoloration, giving you a smooth, even smile. We create our veneers to match the shape and color of your teeth.
- Dental Crowns: A dental crown is a cap that covers a damaged tooth. Crowns protect the tooth and restore its shape, size, and strength. Our dentists use them after root canals or to fix broken teeth.
- Invisalign Clear Aligners: Invisalign uses clear aligners to straighten teeth without metal braces. The aligners are removable, making it easier to eat and brush your teeth. Invisalign gradually moves your teeth into the right position in about 12 months for a straighter smile.
- Tooth Bonding: Our tooth bonding compounds repair minor flaws in your teeth. The dentist applies a tooth-colored resin to the surface of your teeth to fix chips, cracks, or gaps. Bonding is a quick and painless way to fix your teeth.
- Dental Implants: Dental implants replace missing teeth. We place a metal post in your jawbone and attach a crown to it. Implants look and function like natural teeth, helping you chew and speak more comfortably.
Dr. Dickert or Dr. Lynn will explain all treatment options to you and help you create a plan that fits your needs and budget. They’ll go through each option so you can decide what’s best for you. We also offer convenient payment and financing options.

Why Choose Cosmetic Dentistry?
Many people think cosmetic dentistry is just about making your teeth look better. But often, cosmetic problems come from deeper oral health issues. Fixing these problems not only gives you a smile you’re proud to show off but also helps improve your overall oral health. The goal of cosmetic dentistry is to create the best-looking teeth that are also healthy.
Address Crooked Teeth
For instance, crooked teeth are a common issue. Crooked teeth can overlap, causing crowding that makes it hard to clean between them. You might not be able to reach certain spots when brushing and flossing.
This leads to a buildup of debris and bacteria, increases the risk of tooth decay, and causes gum disease. Straightening your teeth makes it easier to clean every part of your mouth.
Crooked teeth and other cosmetic issues can also cause an uneven bite. Some teeth have to handle more pressure than others in an uneven bite. This can cause them to wear down faster and become more prone to breaking or chipping.
Create a Balanced Bite
An uneven bite can also cause TMJ disorders, which affect your jaw joint, lead to pain, and cause other issues. Many of our cosmetic dentistry treatments can help with these concerns. Porcelain veneers and dental bonding can fix almost any cosmetic problem you have.
As you get older, taking care of your smile is important for many aspects of your life. It helps you eat a wider range of foods and encourages you to keep your teeth clean and healthy. You’ll ensure the best long-term dental health when you get a balanced bite.
Get a Beautiful Smile
Porcelain veneers cover the front and sides of your teeth to quickly hide imperfections. Veneers are a permanent solution, while bonding is a temporary and removable option. Our dentist can shape the bonding material to match your teeth perfectly.
Improve Your Confidence
Insurance providers often consider cosmetic dental treatments optional, but they bring many health benefits. These procedures can improve both your mouth’s health and its longevity. A healthy and attractive smile boosts your confidence in social and professional settings.

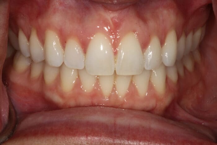
Dental patient results after SureSmile clear aligners at West Ashley Family Dentistry.
Frequently Asked Questions
Want to know more about cosmetic dental services? Dr. Dickert and Dr. Lynn will answer all your questions about our services during your dental exam. In the meantime, read the following answers to commonly asked questions about these treatments.
How Does Dental Bonding Compare to Porcelain Veneers?
Although tooth bonding and veneers can treat the same dental problems, they differ in treatment time, planning, and longevity. Porcelain veneers are a stain-free and longer-lasting treatment. However, dental bonding is a more economical and quicker treatment. Dental bonding is best for minor concerns, while veneers can address more extensive damage.
Will Dental Insurance Cover Cosmetic Dental Care?
Dental insurance doesn’t normally cover cosmetic dental treatments. This is because insurance providers don’t consider cosmetic treatments medically necessary for maintaining good oral health. However, we’ll work with you to help you take full advantage of your insurance benefits.
How Can I Whiten My Teeth if I Have Deep Stains?
Patients with deep tooth stains that are resistant to teeth-whitening treatments can receive dental bonding or porcelain veneers. These cosmetic treatments cover the tooth enamel with materials that the dentist color-matches to your real teeth. We can brighten a single stained tooth at a time using a biocompatible compound or porcelain ceramic.
How Long Do Cosmetic Dental Treatments Take?
The time it takes for cosmetic dental treatment can vary based on the procedure you’re getting. For example, you can get teeth whitening treatment in just one visit. Getting veneers might take two visits. The first visit is for taking impressions and preparing your teeth, and the second visit is for placing the veneers.
More comprehensive treatments, like Invisalign, typically take about 12 to 18 months. Treatment time will always depend on the state of your oral health and what you’re looking to improve about your teeth.
What’s the Most Popular Cosmetic Dental Treatment?
The most popular cosmetic dentistry treatment is teeth whitening. It’s quick, affordable, and can make teeth a lot whiter in just one visit to the dentist. The procedure isn’t invasive, so it’s a great choice for anyone wanting to quickly brighten their smile.
Are Veneers Permanent?
Veneers are a permanent, long-lasting solution for improving your smile. They’re thin shells that cover the front of your teeth to fix problems like discoloration, chips, or gaps.
Before placing veneers, our dentist removes a small amount of enamel from your teeth to make room for them. This process isn’t reversible, which is why veneers are a permanent change to your teeth. With good care, veneers can last 10 to 15 years or longer, but you may need to eventually replace them.
Do I Need Veneers or Crowns?
If your teeth look good overall but you want to change their color or shape, you might want veneers. Veneers are a great option for fixing flaws without changing the entire tooth. You might need a crown if you have a severely decayed or broken tooth, or one that has had a root canal. Crowns provide more support and protection than veneers because they repair more significant issues.
Does Invisalign Have an Age Limit?
There isn’t a strict age limit for Invisalign. Patients of all ages can use it to straighten their teeth. Adults can also use Invisalign, as long as their teeth and gums are healthy.
Teenagers can benefit from Invisalign more because their teeth and jaws are still developing. Invisalign has special aligners for teens, with small blue dots to track wear time.
Get A Dental Exam & Cosmetic Consultation Today
The first step towards your best smile is to consult with one of our Charleston cosmetic dentists. Contact our dental office at (843) 371-5480 or request an appointment online. We serve patients from West Ashley, Ashley Harbor, Woodlawn, Wagner Terrace, Stiles Point, and all over Charleston County.
